
口腔知识知多少?
呵
护
牙
齿
从
我
做
起


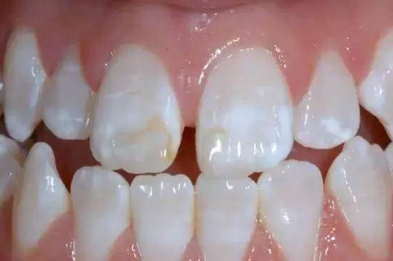
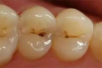
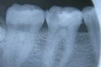
什么是蛀牙
蛀牙(decayed teeth)专业名称叫龋齿(caries),是牙体产生的一种慢性炎症疾病,牙齿表面的细菌生物膜与可发酵的碳水化合物底物结合会导致脱矿质并最终形成蛀牙。在全球范围内,有24亿人(约占世界人口的三分之一)有未经治疗的恒牙龋齿。


龋齿是怎么形成的?
龋齿形成的四要素

致龋菌可使碳水化合物分解产酸,导致牙齿无机质脱矿。
建议每天按时刷牙及时去除牙面上的牙菌斑。
龋病形成起主要作用的是碳水化合物,它既能形成菌斑基质,也能为菌斑提供能源。
建议饭后及时漱口去除牙面附着的食物,使用牙线清理嵌塞的食物残渣。
牙齿是龋病过程中的靶器官,乳牙较恒牙更易患龋齿,唾液分泌少的人更易患龋齿。
初期龋到临床形成龋洞一般需数月至数年时间。
建议定期做口腔检查可以及时发现蛀牙,早期治疗,成本更低、效果更好。

龋齿形成的四个阶段




怎么治疗龋齿





怎么预防龋齿

每天早晚刷牙,每次刷牙时间不少于 2 分钟,晚上睡前刷牙更重要。选择合适的牙刷,一般每三个月更换一次,若出现牙刷毛变形外翻,要及时更换,做到一人一刷一口杯。
适合青少年的刷牙方法是“水平颤动拂刷法”,将刷毛末端指向牙根方向,与牙面呈 45 度角,放在牙与牙龈交界处,短距离水平颤动 5 次,然后转动牙刷柄,沿牙齿长出的方向拂刷牙面,每个牙面都刷到。

青少年应学习使用牙线清洁牙齿缝隙,可选择牙线架或卷轴型牙线,使牙线拉锯式进入两颗牙齿之间的缝隙,紧贴一侧牙面呈“C”字形包绕牙齿上下刮擦牙面,再以同样方法清洁另一侧牙面。建议每天使用牙线,尤其晚上睡前要清洁牙齿缝隙。接受牙齿矫正的青少年,还需要使用牙间隙刷辅助清洁牙面。

青少年应学习使用牙线清洁牙齿缝隙,可选择牙线架或卷轴型牙线,使牙线拉锯式进入两颗牙齿之间的缝隙,紧贴一侧牙面呈“C”字形包绕牙齿上下刮擦牙面,再以同样方法清洁另一侧牙面。建议每天使用牙线,尤其晚上睡前要清洁牙齿缝隙。接受牙齿矫正的青少年,还需要使用牙间隙刷辅助清洁牙面。

长按识别
关注我们


安徽省桐城市文昌大道与荣康路交叉口
1路:交警大队站下车;
3路:公安局站下车