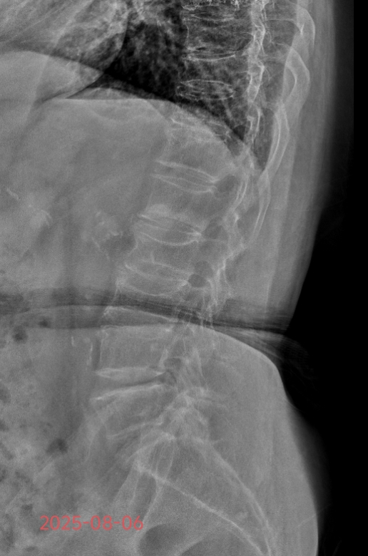
“突发腰部剧痛,无法翻身及坐起活动”。今年82岁的方奶奶,既往有糖尿病、高血压、心脏病,长期口服药物治疗,曾有口服糖皮质激素药物病史。2025年8月5日出现夜间腰部剧痛,急诊来院就诊,急查腰椎核磁诊断为腰椎骨质疏松伴腰1椎体骨折。随着年龄增长,老年群体骨骼密度下降,椎体如同“脆弱的蛋壳”,日常弯腰、咳嗽都可能引发骨折,剧烈疼痛与活动受限让不少老人陷入“卧床难起”的困境。




传统保守治疗需长期卧床休养,不仅疼痛缓解慢,还易引发肺炎、血栓等并发症,甚至加速肌肉萎缩。而经皮椎体后凸成形术(PKP)的出现,为这类患者开辟了快速康复的新路径。
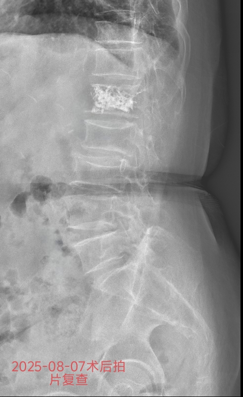
方奶奶入院后,骨科团队全面评估其心肺功能等指标,量身定制PKP手术方案。主治医师王亮在局部麻醉下通过微小切口,在影像精准引导下将穿刺针植入病变椎体,注入骨水泥加固,水泥弥散良好。整个过程耗时不到1小时,创伤小、出血少,术后无需长时间禁食。




术后2小时,李奶奶就能自行翻身及下地短距离行走,腰部疼痛感明显减轻;术后,各项检查指标平稳,顺利出院。



PKP手术通过骨水泥的支撑作用,可快速恢复椎体稳定性、缓解疼痛,帮助患者尽早脱离卧床状态,大幅降低并发症风险。对于老年骨质疏松性椎体骨折患者,及时选择PKP手术,能有效缩短康复周期,减少病痛对生活的影响。
如今,越来越多像方奶奶这样的高龄患者,通过PKP手术摆脱骨折困扰。早诊断、早治疗,科学选择手术方案,就能让老年患者少受疼痛折磨,重新挺直腰杆,享受有质量的晚年生活!
END




来源 | 外 科
排版 | 信息科
审核 | 医务科