创伤小、恢复快!56岁腰椎骨折患者在我院接受微创手术重获健康
发布时间:2025-09-30 15:56:46阅读次数:0作者:RONGJUN


2025929日,我院骨科副主任医师姚磊携团队在安庆市第一人民医院专家指导下为一腰椎椎体压缩性骨折患者实施微创小切口脊柱后路钉棒系统内固定术,手术取得圆满成功



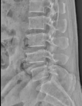
患者江先生,56岁,因外伤4椎体压缩性骨折。为了最大限度减少对患者的创伤,加快其康复,术前科室进行认真讨论,查阅资料,观看手术视频,制订详细的手术计划,于929日在全麻下行微创小切口脊柱后路钉棒系统内固定术治疗腰4椎体压缩性骨折,术后复查X线提示腰椎高度恢复,内固定位置正常。



姚主任介绍道,传统椎弓根内固定植骨融合术采用切开皮肤,剥离肌肉,显露椎体结构后,植入椎弓根螺钉固定,存在创伤大(约10厘米)、椎旁肌肉剥离广泛、术中出血多(一般出血约300毫升)、术后切口引流量大(一般约200毫升)、术后切口疼痛、恢复期长等。而微创经皮椎弓根钉棒内固定植骨融合术因其手术创伤小(约2厘米),术中出血少(约20毫升),不剥离椎旁肌肉,术后切口无需引流,无术后切口疼痛,可早期下地进行功能恢复,是近年来发展起来的新技术,也是目前微创治疗腰椎滑脱、胸腰椎骨折、椎管狭窄、肿瘤等脊柱疾病的一种先进手术方式。经皮椎弓根钉棒系统内固定术微创技术,对手术技术要求比传统手术方式更高,术前需要非常周密的计划,根据患者的影像资料做非常精确地测量和定位,更需要手术医生具有非常娴熟的开放椎弓根钉棒系统内固定技术及经皮椎弓根穿刺技术。

此项手术的成功开展标志着省荣军康复医院骨科在脊柱微创内固定领域又取得一项重大技术突破。



   END   




来源 | 骨  科 

排版 | 信息科

审核 | 医务科





医院地址


安徽省桐城市文昌大道与荣康路交叉口


公交路线


1路:交警大队站下车;

3路:公安局站下车